Invest in Your Smile: $550 Premium Dental Implant Assessments & Consultation for Only $75

Regain your confidence and enjoy life to the fullest with Royal Dental Spa’s comprehensive dental implant consultations. Our team of experts will guide you through the process, ensuring a seamless transition to a beautiful, healthy smile that lasts a lifetime.
services dental implants hero min

Why We Charge a Consultation Fee On Your Dental Implant Consultation

At Royal Dental Spa, we charge a $75 consultation fee for our dental implant consultations to ensure that we provide the highest level of personalised and professional service to our patients. There are several reasons and benefits for charging a consultation fee, which we believe ultimately results in a better experience for our patients.

homepage emergency dentist min

Comprehensive Assessment Valued at $550

During the consultation, we perform a detailed examination that includes X-rays, Intraoral 3D scans, and a comprehensive oral exam, usually valued at $550. This thorough assessment enables us to accurately evaluate your dental implant needs and provide you with an individualised treatment plan tailored to your specific requirements.

Transparency and Trust

We believe in being upfront and transparent about the costs associated with our services. The $75 consultation fee reflects the value of the professional advice and personalised attention you receive during your appointment. This approach helps to build trust and foster a strong patient-dentist relationship.

why choose us highly experience staff
homepage restorative dentistry min

Quality of Care

By charging a consultation fee, we can invest in state-of-the-art equipment and technology, as well as ongoing professional development for our team. This ensures that we maintain the highest standards of care and can offer you the latest and most effective dental implant solutions.

Deductible Fee

To further demonstrate our commitment to providing exceptional value to our patients, we will deduct the $75 consultation fee from the cost of your dental implant treatment if you choose to proceed with the recommended plan. This ensures that you receive the full benefit of the consultation without incurring additional costs.

homepage dental implants min
patient offers free smile makeover consultation

Expertise and Time

Our dental implant consultations are conducted by highly trained and experienced dental professionals, who take the time to thoroughly assess your oral health and discuss the most suitable treatment options with you. Charging a consultation fee allows us to allocate sufficient time for each patient, ensuring that all your questions and concerns are addressed.

Our Payment Options

We Offer a Wide Variety of Payment Options to Make Dental Implant Treatment Accessible

At Royal Dental Spa, we understand that investing in dental implant treatment is a significant decision for our patients. To make this life-changing treatment more accessible and manageable, we offer a variety of flexible payment options designed to suit your individual financial needs. Our commitment to providing exceptional dental care extends to ensuring that you can achieve the smile you deserve without undue financial stress.

 

SuperCare

We recognise that dental treatments may come at a high cost, which can be a financial challenge. SuperCare is available in our dental clinic, which provides a secure way and early access to Superannuation to cover dental treatments.

DentiCare

Worry no more about expensive dental services with DentiCare. It doesn’t require credit or finance checks and is interest-free. Also, you can choose among the three payment plan options it offers that can match one’s needs.

HICAPS

We make claiming rebates relatively quicker with HICAPS. It is an electronic system that allows patients to swipe cards and claim benefits on the spot when paying for dental services instead of waiting for reimbursement.

Meet Our Team

Meet Our Dental Team

Get to know the exceptional dental team behind Royal Dental Spa’s outstanding dental implant services. Our skilled and compassionate dentists are dedicated to providing personalised care and delivering exceptional results. With their combined expertise and passion for patient satisfaction, you can trust our team to guide you every step of the way towards a beautiful, healthy smile.
meet our team dr mike alkateb min

Dr. (Mike) MAHER ALKATEB

Senior Cosmetics and Dental Implants Dentist

meet our team dr christian esknder min

Dr. Christian Eskander

General Dentist

meet our team dr haneen bahnam min

Dr. Haneen Bahnam

General Dentist

Frequently Asked Questions

Frequently Asked Questions About
Dental Implants

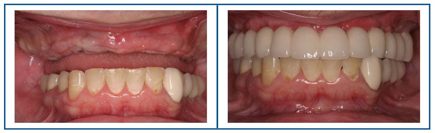
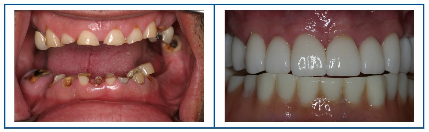
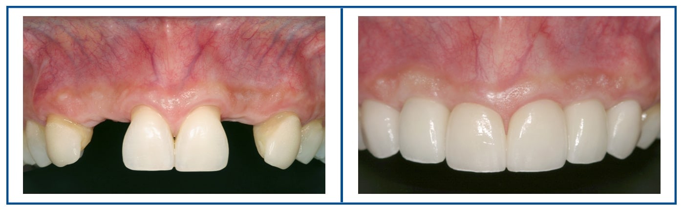
Dental implants are a permanent solution for replacing missing teeth. They consist of a titanium post that’s surgically placed into the jawbone, an abutment that connects the post to the replacement tooth, and a custom-made crown that mimics the appearance of a natural tooth. Dental implants look, feel, and function just like your natural teeth, making them a popular choice for Craigieburn residents seeking a long-lasting tooth replacement option.

While dental implants are an excellent solution for many people, certain factors may affect a person’s suitability, such as insufficient bone density, gum disease, or certain medical conditions. During your consultation at Royal Dental Spa, our team will thoroughly evaluate your oral health and medical history to determine if dental implants are the best option for you.

The dental implant process typically takes several months from start to finish, as it involves multiple stages, including consultation, treatment planning, implant placement, healing, and crown placement. The timeline varies for each patient, depending on factors like the number of implants needed and the individual’s healing capacity. Our team at Royal Dental Spa will provide you with a personalized treatment plan and timeline during your consultation.

Caring for dental implants is similar to maintaining your natural teeth. It’s essential to brush and floss daily, attend regular dental check-ups, and maintain a healthy lifestyle to ensure the longevity of your dental implants. Our team will provide you with detailed instructions on how to care for your implants and keep your smile looking its best.

Dental implants have a proven track record of safety and success, with success rates of over 95% in most cases. Our experienced dental team at Royal Dental Spa uses the latest techniques and materials to ensure the highest standards of safety and efficacy for Craigieburn residents considering dental implants.

The cost of dental implants can vary based on factors such as the number of implants needed, the complexity of the procedure, and any additional treatments required. During your consultation at Royal Dental Spa, we’ll provide a detailed cost breakdown and discuss financing options to make your investment in a stunning smile as stress-free as possible.

Absolutely! Dental implants are designed to blend seamlessly with your natural teeth, providing a natural-looking and fully functional solution to tooth loss. At Royal Dental Spa, we use state-of-the-art technology and techniques to ensure a perfect fit and a beautiful, natural appearance.

Yes, dental implants can be used to replace single or multiple missing teeth. Depending on your needs, we may recommend implant-supported bridges or dentures for a complete and natural-looking restoration.

 In some cases, patients with insufficient bone density can still receive dental implants through bone grafting procedures. Our dental team will assess your jawbone and determine if bone grafting is necessary during your consultation.

 In some cases, patients with insufficient bone density can still receive dental implants through bone grafting procedures. Our dental team will assess your jawbone and determine if bone grafting is necessary during your consultation.

At Royal Dental Spa, we prioritize your comfort and strive to make your dental implant experience as pain-free as possible. The procedure is typically performed under local anesthesia, ensuring minimal discomfort during the process. We’ll also provide you with post-operative care instructions to help manage any discomfort during the healing phase.

Yes, dental implants can significantly improve denture stability. Implant-supported dentures, also known as overdentures, are anchored to dental implants, providing a secure and comfortable fit. This option can greatly enhance your ability to speak, eat, and smile with confidence.

 The ideal time to place dental implants after tooth extraction depends on factors such as the condition of your jawbone and the location of the missing tooth. In some cases, dental implants can be placed immediately after tooth extraction, while in others, it may be necessary to wait several months for the extraction site to heal. Our dental team at Royal Dental Spa will evaluate your specific situation and recommend the best course of action during your consultation.

While dental implant failure is rare, it can occur due to factors such as infection, poor healing, or lack of integration with the jawbone. If an implant fails, our dental team will assess the situation and determine the best course of action. In many cases, the failed implant can be removed, and a new implant can be placed after the area has healed. At Royal Dental Spa, we’re committed to ensuring your satisfaction and will work diligently to address any issues that may arise throughout the dental implant process.

The Smart Way to Complete Smile Starts With Our Free Dental Implant Consultation.

We believe that outstanding dental care should be accessible to everyone. Reach out today to schedule your free dental implant consultation and bring back your confident smile!

Royal Dental Spa